Fogpótlás olcsón vagy tartósan?
Fogpótlás olcsón vagy tartósan? Olcsó fogpótlás helyett tartós megoldás? Tudja meg, miért éri meg hosszú távon minőségi anyagokkal és szakértelemmel helyreállítani mosolyát.
Jöjjön el budapesti rendelőnkbe és megtaláljuk fogászati problémájának okát, majd felállítjuk kezelési tervét és nem csak egészségessé, hanem esztétikussá is varázsoljuk fogait!
Amennyiben először érkezik a PureDental fogászatára, az első alkalom egy nyugodt, személyes konzultációval indul, amely során megismerheti kezelő fogorvosát, elmondhatja panaszait, és megoszthatja, milyen fogászati beavatkozások érdeklik. Célunk, hogy egy bizalomteljes, részletes állapotfelméréssel megalapozzuk az Ön fogászati kezelésének sikerét.
A konzultáció során fájdalommentes diagnosztikai és fizikális vizsgálatokat végzünk:
Minden esetén digitális panoráma röntgen készül helyben (amennyiben nem hoz magával egy 3 hónapnál nem régebbi felvételt)
Intraorális fotókat készítünk a jelenlegi állapotról
Szemrevételezéssel megvizsgáljuk az ínyt, fogakat és szájnyálkahártyát
Kérdéses esetekben intraorális röntgen vagy CBCT 3D felvétel segíti a pontos diagnózist
A kapott információk és az Ön igényei alapján részletes kezelési tervet állítunk össze, amelyet érthetően, közösen átbeszélünk. Az elfogadott terv alapján már az első konzultációt követően időpontot egyeztetünk a további beavatkozásokra – akár rövid határidőn belül.
Jelentkezem fogászati konzultációra online
Telefonálok időpont egyeztetés céljából

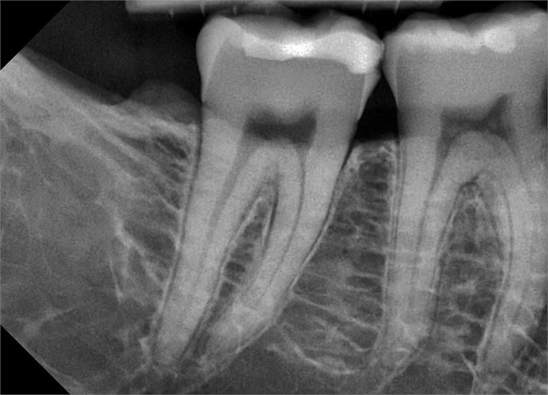
Az intraorális digitális röntgen kifejezetten egy-két fog vizsgálatára alkalmas, például gyulladt fog, gyökérkezelés vagy fogimplantátum kontrollja során. Ez a felvétel rendkívül részletgazdag képet nyújt az érintett területről, és segíti a helyes diagnózis és a megfelelő kezelési terv kialakítását.
Noha a panoráma röntgent nem helyettesíti, kiválóan kiegészíti azt – különösen akkor, ha egy adott foggal kapcsolatos kérdésre keresünk pontos választ.
A digitális panoráma röntgen az egyik leggyakrabban használt képalkotó diagnosztikai módszer a fogászatban. Lehetővé teszi a teljes fogazat, az állcsontok, az ízületek és az arcüreg állapotának gyors és fájdalommentes felmérését. Nélkülözhetetlen eszköz az éves kontrollvizsgálatok és a góckutatás során.
A fogak elhelyezkedésére és tengelyállására
Szuvasodások, gyulladt vagy ciszta gyanús fogak jelenlétére
Rejtett gócokra és foghiányokra
Az arcüreg és az állkapocs állapotára
Fogszabályozási vagy implantációs tervezéshez
A felvételt rendelőnkben azonnal elkészítjük, beutaló nélkül. Igény szerint digitális formában is átadjuk pácienseinknek.
Javasolt évente megismételni, különösen, ha implantátummal, gyökérkezelt foggal vagy bölcsességfoggal rendelkezik.

A CBCT, vagyis a háromdimenziós fogászati CT a legmodernebb diagnosztikai eszköz, amely lehetővé teszi a fogak, az állcsont, az ízületek és az arcüreg részletgazdag vizsgálatát. A felvétel háromdimenziós képet ad, így pontosabb információt nyújt, mint a hagyományos röntgenfelvételek.
Implantációs kezelések és csontpótlás előtt
Bonyolult gyökérkezelés vagy rezekció tervezésekor
Góckutatás esetén
Nehezen eltávolítható bölcsességfogaknál
Rejtett vagy visszamaradt fogak esetén
Arcüregközeli gyulladások, ciszta vagy elváltozás vizsgálatára
A vizsgálat gyors, fájdalommentes, beutaló nélkül elérhető, és bármely életkorban elvégezhető, amennyiben indokolt. A felvétel elkészítése előtt a páciensnek le kell vennie minden ékszert, szemüveget.
A CBCT-felvétel nálunk digitális formában vagy CD-n is kérhető, így könnyen megosztható más orvossal is.
Fogászati diagnosztika Budapest 2. kerület – PureDental
Fájdalommentes vizsgálatok, korszerű képalkotó eszközök, tapasztalt fogorvosok. Kérjen időpontot első konzultációra, és tegye meg az első lépést a pontos diagnózis és a sikeres kezelés felé!
Telefonálok időpont egyeztetés céljából
Miért van szükség a javasolt fogászati kezelésre?
Milyen alternatívák fogászati kezelések léteznek?
Mennyi ideig tart a kezelés, és mire számíthat utána?
Ezek a kérdések segítenek tisztán látni és megalapozott döntést hozni a fogászati problémák kezelésével kapcsolatosan.
Nem szükséges különösebb előkészület, de néhány apróságra érdemes figyelni:
Távolítsa el a fém ékszereket, nyakláncot, szemüveget, kivehető fogsort a vizsgálat előtt.
Tájékoztassa a fogorvost, ha terhes vagy terhességre gyanakszik.
Nincs szükség éhgyomorra, nyugodtan ehet és ihat előtte.
A PureDentalban minden vizsgálat gyors, fájdalommentes és alacsony sugárterheléssel jár. A szakasszisztensek a helyszínen segítenek minden lépésben.
A panoráma röntgen egy kétdimenziós kép, amely a teljes fogazatot és állcsontokat mutatja meg egyetlen síkban, általános áttekintésre kiváló, például szuvasodás, bölcsességfog vagy állcsontsérülés esetén.
A 3D CBCT (kúpsugaras CT) ezzel szemben háromdimenziós, nagy felbontású képet készít a csont- és fogstruktúrákról. Ez elengedhetetlen implantáció, gyökérkezelés, szájsebészet vagy góckutatás esetén, mivel pontosabb, rétegekre bontott információt ad.
A PureDentalban a diagnózis mindig az adott problémához illeszkedő képalkotással történik, csak akkor készítünk CBCT-t, ha valóban szükséges a biztonságos és sikeres kezeléshez.
A legfontosabb szempontok:
✅ Átláthatóság: Érthetően elmagyarázták a problémát és a javasolt kezelést? Tudja, miért van szükség az adott beavatkozásra?
✅ Szakmai hitelesség: Rendelkezik a rendelő tapasztalt fogorvosokkal, szakterületi képesítéssel?
✅ Diagnosztika minősége: Készült pontos röntgen vagy 3D CBCT-felvétel? Személyre szabott a terv vagy sablonos?
✅ Kezelési alternatívák: Felkínáltak több megoldást, elmagyarázva az előnyöket és hátrányokat?
✅ Árak és garancia: Korrekt árajánlatot kapott rejtett költségek nélkül? Van garancia a munkára?
✅ Környezet és kommunikáció: Barátságos a légkör, jól érzi magát? Kap elég figyelmet, időt, választ? Bizonságban érzi magát a fogorvos mellett?
A PureDentalnál minden kezelési terv részletes vizsgálat és konzultáció után, szakmai protokoll alapján készül, célunk a hosszú távú megoldás és a teljes bizalom.