Bölcsességfog-eltávolítás most 50.000 Ft értékű kedvezménnyel!

A PureDental szájsebészetén a bölcsességfog eltávolítása korszerű diagnosztikai eszközökkel, modern érzéstelenítéssel és tapasztalt szájsebészeinkkel történik gyorsan, biztonságosan és teljesen fájdalommentesen.

Általános fogászati állapotfelmérés 15 000 Ft
Érzéstelenítés 5 000 Ft
Részletes műtét utáni tájékoztatás és tanácsadás csomag része
Felépülést segítő utókezelési csomag 5 000 Ft
Utógondozás, felszívódó varratok és varratszedés (szükség esetén) csomag része
Első éves kontrollvizsgálat 15 000 Ft
Panoráma röntgen az első éves kontrollvizsgálathoz 10 000 Ft

Megtakarítás 50 000 Ft

Ismerje meg, hogyan zajlik a bölcsességfog-eltávolítás a PureDentalnál!

50.000Ft értékű kedvezménycsomag bölcsességfog-eltávolításra

A felépülésének támogatása érdekében egy komplex ajándékcsomaggal szeretnénk kedveskedni, amely -40% kedvezményt jelent a kezelés végösszegéből. 

Miért érdemes a PureDental szájsebészetét választani?

Modern technológiával, tapasztalt szakorvosokkal és empatikus utógondozással biztosítjuk, hogy a beavatkozás fájdalommentes, gyors és hosszú távon sikeres legyen.

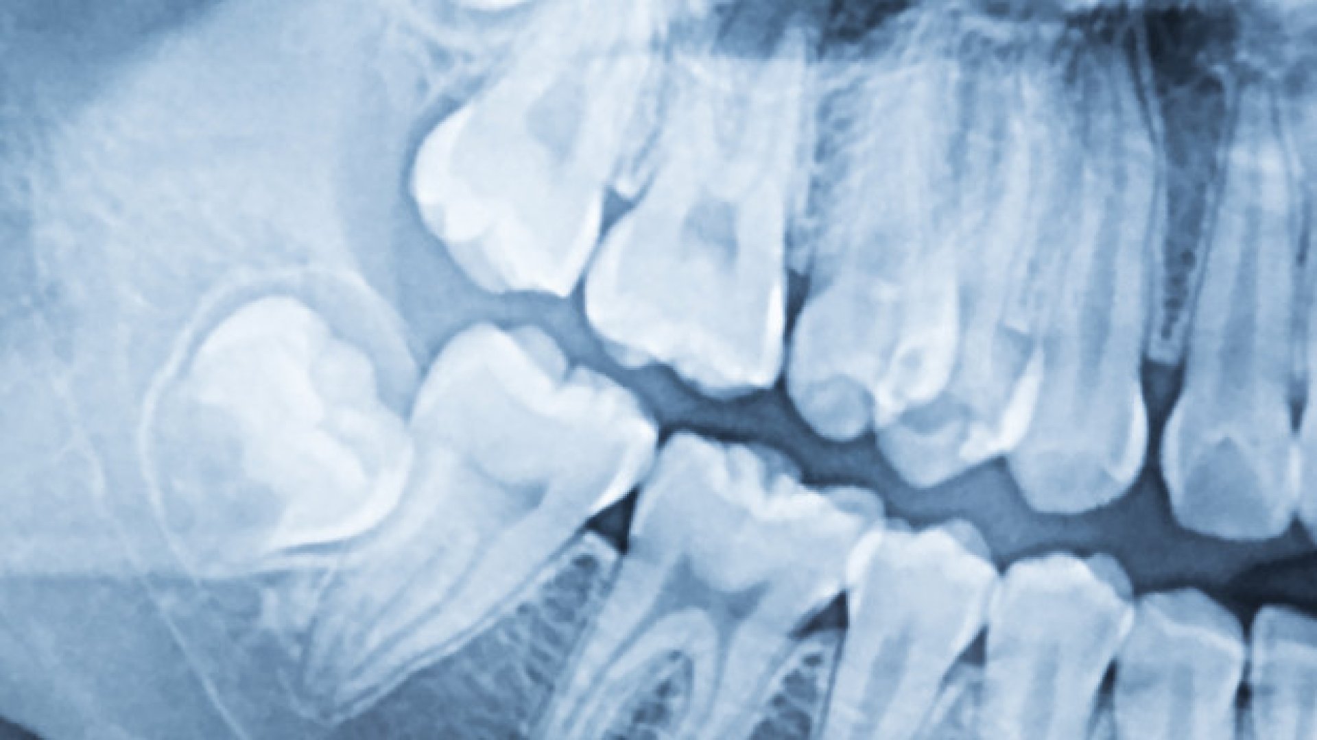
Mikor indokolt a bölcsességfog eltávolítása?

Ha a bölcsességfog csak részben tud előtörni, akkor a fog és az íny között egy tasak alakul ki, amelynek tisztítása szinte lehetetlen. A belekerülő ételmaradékok pedig gyulladást okozhatnak, amely heves fájdalommal, magas lázzal és duzzanattal járhat. Különösen indokolt a beavatkozás, ha Ön:
  • Rendszeres fájdalmat vagy ínygyulladást tapasztal a bölcsességfog körül
  • Torlódást vagy elmozdulást okoz a fogsorban
  • Cisztagyanú, gyulladás vagy rossz tengelyállás alakult ki
  • A fog csak részben tört elő, emiatt nehezen tisztítható és állandóan gyulladt
bolcsessegfog eltavolitasa

Hogyan történik rendelőnkben a bölcsességfog eltávolítása?

A PureDentalban a bölcsességfog eltávolítása gyors, fájdalommentes és kíméletes eljárás, amelyet modern diagnosztika és gondos utókezelés egészít ki.

17_Tooth

1. Szájsebészeti állapotfelmérés

Digitális panoráma röntgen vagy CBCT segítségével. Nyugodt környezetben átbeszéljük a műtét menetét és megválaszoljuk kérdéseit.

17_Tooth

2. Érzéstelenítés alkalmazása

A legkorszerűbb, legmagasabb hatásfokú érzéstelenítőket alkalmazzuk, az egyéni igényeket és érzékenységeket figyelembe véve, így a beavatkozás teljesen fájdalommentes és komfortos.

17_Tooth

3. Gyors és kíméletes fogeltávolítás

A beavatkozás rendszerint rövid időt vesz igénybe, és kíméletes technikával, minimális szöveti terheléssel történik. A seb ellátása mindig az egyéni esetnek megfelelően történik – szükség esetén varratot alkalmazunk, hogy a gyógyulás a lehető leggyorsabb és legbiztonságosabb legyen.

17_Tooth

4. Kontroll és varratszedés

A beavatkozás után írásos teendőlistát adunk, és szükség esetén kontrollt biztosítunk. A gyógyulási idő alatt fájdalom vagy panasz esetén előre egyeztetett időpontban, soron kívül fogadjuk pácienseinket, és folyamatosan elérhetők vagyunk kérdés vagy bizonytalanság esetén is. Általában 4–6 hét alatt felszívódó varratokat alkalmazunk, a komfortérzet maximalizálása érdekében igény szerint, előre egyeztetett időpontban díjmentesen eltávolítjuk azokat 7-10 nappal a beavatkozást követően.

Gyakori kérdések a bölcsességfog eltávolításról

Összegyűjtöttük azokra a kérdésekre a válaszokat amiket a leggyakrabban kérdeznek pácienseink a bölcsességfog eltávolítás előtt.

Mennyire fáj a bölcsességfog eltávolítása?

Nem kell tartania: korszerű érzéstelenítést és kíméletes technikákat alkalmazunk, így a beavatkozás teljesen fájdalommentes.

Fájdalom, duzzadt íny, tisztítási nehézségek, torlódás, vagy szájnyitási nehézség intő jel lehet.

A részben előtört fogaknál gyulladás, ciszta vagy tályog alakulhat ki, a rossz irányú növekedés torlódást okozhat, hosszú távon akár más fogak elvesztéséhez is vezethet.

Általában néhány nap alatt visszatérhet a megszokott kerékvágásba, duzzanat előfordulhat, de jegeléssel gyorsan csökken, a teljes regeneráció pedig néhány hétbe telik.

Nem, csak akkor, ha panaszokat vagy szövődményeket okoz. Panaszmentes esetben rendszeres röntgenes kontroll javasolt.

Igen! Szájsebészeti konzultációnkon teljes képet kap fogai állapotáról és a kezelési lehetőségekről.

Éljen az 50.000Ft értékű kedvezménnyel és szabaduljon meg a bölcsességfog okozta fájdalomtól!

Tapasztalt szájsebészeink modern diagnosztikával és kíméletes módszerekkel segítenek Önnek.  Hívjon most, vagy jelentkezzen online és nyitvatartási időben 3 órán belül felvesszük Önnel a kapcsolatot.

Pure Dental Weboldal CTA
puredental budapest

Tájékoztatjuk kedves pácienseinket, hogy klinikánk december 24. és január 4. között zárva tart.

Január 5-től, újra a megszokott nyitvatartási időben várjuk kedves pácienseinket.